今、お使いの装置をクリックして下さい。
各装置の対応方法の書いてある場所にジャンプします。
それを確認して、該当する物がない場合は、 LINE公式アカウントにてご連絡下さい。
出来れば写真を添付して頂けると状況が確認しやすくなります。
					
大人の矯正治療
マルチブラケット装置
- 
								
ブラケットが外れた。
慌てる必要はありませんが、痛い場合は、確認しますのでご連絡下さい。
痛くない場合、次回予約までそのまま使っても大丈夫か確認しますので、
LINE公式アカウントより写真を送って下さい。 - 
								
デイモンブラケットのふたが開いている。
									動画をご参照下さい。
うまくできない場合は、ご連絡下さい。 - 
								
ブラケットが当たって頬が痛い。
ワイヤーが後ろから出て頬に刺さって痛い。
									動画をご参照下さい。
痛みが強い場合は、ご連絡下さい。 - 
								
ワイヤーが抜けた。
									慌てる必要はありませんが、痛い場合は、確認しますのでご連絡下さい。
 - 
								
パワーチェーンが切れた、外れた。
									すき間を閉じるために付けるゴムをパワーチェーンと言います(矢印)。
このゴムが切れたり、外れたりすることがあります。自分で元に戻せるようなら、戻して頂いても結構です。
ただし、間違ったかけ方になっていることもありますので、LINE公式アカウントより写真を送って下さい。正しくかかっているか確認します。
切れた場合は、付け直しますので、ご連絡下さい。 - 
								
ゴムをかけるフック(コバヤシフック)が外れた。
									ゴムをかけるフック(コバヤシフックと言います。矢印)が外れたり、かけにくくなったりすることがあります。
慌てる必要はありませんが、ご連絡下さい。
隣の歯にかけられないか、確認します。 - 
								
マルチブラケット装置(ワイヤーの装置)が付いた時の歯磨きの仕方。
動画をご参照下さい。
 - 
								
細いワイヤー(結紮線)が出て、痛い(矢印部)。
									指や何か道具を使って、内側に入れて頂ければ大丈夫です。
うまくできない場合は、当面ワックスでカバーして、ご連絡下さい。 - 
								
細いワイヤー(結紮線)が切れた、外れた(矢印部)。
									
								慌てる必要はありません。次回来院時にお伝え下さい。
図のようにワイヤーがずれてきたら、歯が戻っている可能性がありますのでLINE公式アカウントより写真を送って下さい。 
歯科矯正用アンカースクリュー
- 
								
スクリューの周りが腫れている、痛い。
不潔になっているとさらに炎症が強くなります。
痛くても柔らかい歯ブラシなどで丁寧にスクリューの周りを磨いて、清潔にして下さい。次回来院時に確認しますが、痛みが続く場合は、ご連絡下さい。 - 
								
スクリューが緩んでいる、動く。
痛くない場合は、次回来院時に確認します。
不潔になっているとさらに動揺が強くなる場合があります。
柔らかい歯ブラシなどで丁寧にスクリューの周りを磨いて、清潔にして下さい。痛みが続く場合は、ご連絡下さい。 
マウスピース型矯正装置
- 
								
アタッチメントが取れた。
									慌てる必要はありません。
どの部位のアタッチメントが取れたか、 LINE公式アカウントよりお知らせ下さい。
マウスピース型矯正装置(インビザライン)の場合、積極的に動かすためのアタッチメントやアライナーを維持するためのアタッチメントなど、アタッチメントの役目にもいくつかの種類があります。
部位によっては、次回来院時に付け直せば十分な部分もあります。
早めに付け直した方が良い部位か確認します。 - 
								
ゴムをかける金属(ボタン)が取れた、変形した。
									慌てる必要はありません。
ゴムがかけられないため、ゴムの使用を中止して下さい。
次回予約までの日数により、付け直すか、片方だけでも使って頂いた方が良いかなどを確認しますので、LINE公式アカウントよりご連絡下さい。 - 
								
マウスピース(アライナー)が割れてしまった。
									次のアライナーを長めに(2週間程度)使用して下さい。
LINE公式アカウントより、その旨をご連絡下さい。 - 
								
マウスピース(アライナー)を紛失してしまった。
次のアライナーを長めに(2週間程度)使用して下さい。
LINE公式アカウントより、その旨をご連絡下さい。 - 
								
マウスピース(アライナー)が、一部、内側に曲がってしまった。
									慌てる必要はありません。
LINE公式アカウントより写真を撮ってお知らせ下さい。
曲がっている範囲が小さい場合は、ご自身で戻して頂いたり、はさみで切って頂いたりすることもあります。 
パラタルアーチ
- 
								
ワイヤーが食い込んでいる。痛い。
									痛みがある場合は、調整しますので、ご連絡下さい。
痛みがない場合は、慌てる必要はありませんが、一度確認しますのでご連絡下さい。 
イントラオーラルアプライアンス(カリエールモーション3D)
- 
								
装置が外れた。
									手前が外れる場合、奥が外れる場合、両方とも外れる場合があります。再装着しますので、ご連絡下さい。
両方とも外れてしまった場合は、必ず装置をお持ち下さい。
なお、無理に外そうとすると、変形します。
変形した場合、新しい物に交換しなければならないことがあり、装置の交換費用が生じることがありますので、ご注意下さい。 - 
								
ゴムをかける金属(ボタン)が取れた、変形した。
									慌てる必要はありません。
ゴムがかけられないため、ゴムの使用を中止して下さい。
次回予約までの日数により、付け直すか検討しますので、LINE公式アカウントよりご連絡下さい。 - 
								
マウスピースが割れてしまった。
									
								ゴムの使用を中止して、 LINE公式アカウントより、その旨をご連絡下さい。マウスピースを修理・再作製します。
 - 
								
マウスピースを紛失してしまった。
ゴムの使用を中止して、 LINE公式アカウントより、その旨をご連絡下さい。マウスピースを再作製します。
 
取り外し式保定装置

- 
								
紛失してしまった。
まずは、どこかにまぎれていないか探して下さい。
保定開始からどれぐらいの期間が経っているかにもよりますが、数日~1週間ぐらい使わないだけでも後戻りを生じやすくなります。
そのため、LINE公式アカウントより早めにご連絡下さい。マウスピース型保定装置の場合:前回作製時の模型が破損せず残っていれば、その模型で再製作可能な場合が多いです。
プレート型保定装置の場合:前回作製時の模型は破損していますので、歯型を採って再作製する必要があります。
 - 
								
小さな穴が開いてしまった(マウスピース型)。
歯ぎしり等により、小さな穴が開いてしまうことがありますが、特に問題ありません。そのまま使用して下さい。
 - 
								
汚れてしまった(マウスピース型)。
リテーナー洗浄剤を使用しても汚れが取れない場合、次回来院時に相談下さい。
必要に応じて再作製は可能です。 - 
								
プラスチックにひびが入った、割れた(プレート型)。
慌てる必要はありません。ひび程度であればそのまま使える場合が多いです。
LINE公式アカウントより写真を送って下さい。
なお、完全に割れてしまった場合、接着して修理しますので、破片は捨てないで、次回来院時に必ずご持参下さい。 - 
								
ワイヤーが変形した(プレート型)。
何か重いものをのせてしまい、ワイヤーが変形することがあります。
その場合、 LINE公式アカウントより写真を送って下さい。
おそらく調整が必要になりますので、早めにご連絡下さい。 
固定式保定装置
- 
								
一部取れてしまった。
									保定開始からどれぐらいの期間が経っているかにもよりますが、外れたままだと後戻りを生じやすくなります。
慌てる必要はありませんが、必要に応じて再接着しますので、ご連絡下さい。 - 
								
ワイヤーが折れてしまった。
突然折れることはあまりありません。
その前に、一部が外れていて、ワイヤーが動くことで金属疲労により折れる場合がほとんどです。
慌てる必要はありませんが、必要に応じて再製作しますので、ご連絡下さい。 
こどもの矯正治療
取り外し式の拡大装置
- 
								
ひびが入った。割れてしまった。
									使用を中止して、 LINE公式アカウントより写真をお送り下さい。2~3週間装着しないと合わなくなることがありますのでご注意下さい。
 - 
								
永久歯が生えてきた。乳歯がぐらぐらして、うまくはまらない。
装置を調整しますので、使用を中止して、LINE公式アカウントよりご連絡下さい。
2~3週間装着しないと合わなくなることがありますのでご注意下さい。 - 
								
装置がゆるくて、浮いてしまう。
装置を調整しますので、使用を中止して、LINE公式アカウントよりご連絡下さい。
2~3週間装着しないと合わなくなることがありますのでご注意下さい。 - 
								
ワイヤーが折れた(下図の矢印部)。
									再製作する必要がありますので、ご連絡下さい。
 
固定式の拡大装置
- 
								
ワイヤーが折れた。
									
								確認しますので、 LINE公式アカウントよりご連絡下さい。
外れていない側のワイヤーが抜けるようなら抜いて頂いても結構ですが、簡単に抜けないようなら逆に危険ですので、無理をしないで下さい。ご自身で外そうとして、大きく変形してしまい、お困りの際に、当院が休診の場合は、急患診療所やかかりつけ歯科で、切って頂いても構いません。
なお、折れたワイヤーは再作製の際に参考にしますので、捨てないで、必ずご持参下さい。 - 
								
ワイヤーを止めているプラスチックが外れた。ワイヤーが浮いている。
									ワイヤーが浮いてこなければ、そのままでも大丈夫です。
ワイヤーが浮いている場合は、確認しますので、LINE公式アカウントよりご連絡下さい。
食べられない場合、次の「ワイヤーがずれてしまった」の写真のように一時的に赤矢印のワイヤーの下に浮いているワイヤーをひっかけて頂いても結構です。 - 
								
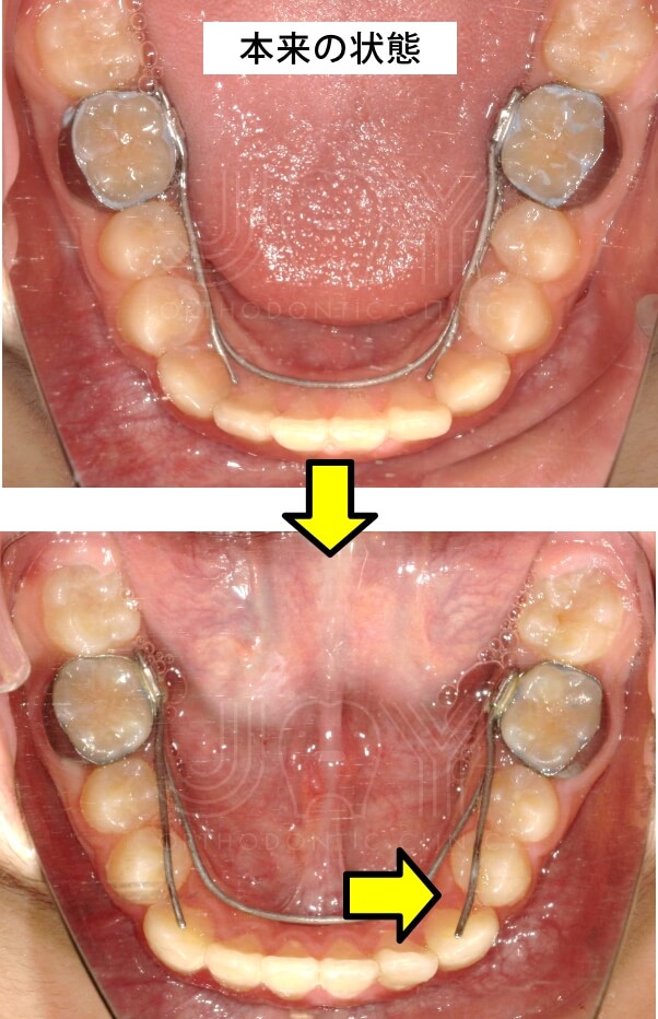
ワイヤーがずれてしまった。
									時々、小臼歯を広げている横のワイヤーが下に入り込んでしまうことがあります。
自分で直せるようであれば直して頂いても結構ですが、無理をするとワイヤーが折れますので、ご注意下さい。
当院で調整しますので、ご連絡下さい。
ご自身で直した場合は、その旨を次回診察時にお伝え下さい。 - 
								
ワイヤーが食い込んで痛い。
調整しますので、ご連絡下さい。
 - 
								
装置を止めている内側の金具が取れた。
									修理・再製作する必要がありますので、ご連絡下さい。
 
上顎急速拡大装置
- 
								
穴が見えなくなった。
 - 
								
穴に棒がささらなくなった。
動画を見て、解決しなければ、 LINE公式アカウントよりご連絡下さい。
 - 
								
バンドが緩んでいる。
									装置を再装着する必要があります。
スクリューを回すのを中止して、 LINE公式アカウントよりご連絡下さい。 - 
								
装置が外れた。
外れて数日であれば、再装着可能なことが多いため、 LINE公式アカウントよりご連絡下さい。
 - 
								
スクリューがうまく広がっていない気がする。戻っている気がする。
確認しますので、 LINE公式アカウントよりご連絡下さい。
 
パラタルアーチ
- 
								
ワイヤーが食い込んでいる。痛い。
									痛みがある場合は、調整しますので、ご連絡下さい。
痛みがない場合は、慌てる必要はありませんが、確認しますのでLINE公式アカウントよりご連絡下さい。 - 
								
永久歯が生えてきて、ワイヤーに引っかかっている。
									
								慌てる必要はありません。
次回、確認しますのでそのままで結構です。
次回来院時にワイヤーの調整を行います。 
上顎前方牽引装置
- 
								
ゴムをかけるワイヤーが曲がった、変形した(矢印部)。
									痛い場合は、調整しますので、ご連絡下さい。
痛くない場合は、そのまま使っても大丈夫か確認しますので、LINE公式アカウントより写真を送って下さい。 - 
								
ゴムをかけるワイヤーが折れた(矢印部)。
									慌てる必要はありませんが、修理や再製作する必要がありますので、 LINE公式アカウントよりご連絡下さい。
 - 
								
フェイシャルマスクが変形した。
多少変形しても、痛みが無ければ、そのまま使って頂いて結構です。
次回来院時に修正します。 - 
								
フェイシャルマスクの青いゴムが取れてしまった。
									
								元に戻せる時は、はめなおしてください。
紛失した場合はそのままでも大丈夫です。 
リンガルアーチ
- 
								
ワイヤーが浮いてしまった。
									
								舌をひっかけて遊んでいると、変形してしまいますので、ご注意下さい。
調整しますので、ご連絡下さい。 - 
								
ワイヤーが食い込んで痛い。
調整しますので、ご連絡下さい。
 - 
								
装置を止めているゴムが取れた。
									ゴムが取れても、抜けなければ大丈夫です。次回来院時に、お伝え下さい。
装置が抜けてしまうようなら、ご連絡下さい。 - 
								
装置を止めている内側の金具が取れた。
									しっかり付けていますが、硬いものを食べると取れることがあります。
修理する必要がありますので、ご連絡下さい。 
バイオネーター、FKO
- 
								
乳歯がグラグラして、装着すると痛い。
乳歯の下から永久歯が生えてきて、合わない。慌てる必要はありませんが、いずれの場合も、確認・調整しますので、LINE公式アカウントよりご連絡下さい。痛い場合は、一時使用を中止して下さい。
乳歯を抜いて頂くこともあります。かかりつけ歯科の先生に抜いて頂いても結構です。 - 
								
装置が一部欠けた。
慌てる必要はありません。痛みが無ければそのまま使用して下さい。次回来院時に修正します。
装着すると痛みがある場合は、調整しますので、ご連絡下さい。 - 
								
ワイヤーが変形した。歯ぐきに当たって痛い。
痛い場合は調整しますので、ご連絡下さい。
痛くない場合は、そのまま使っても大丈夫か確認しますので、装着した状態の写真をLINE公式アカウントより送って下さい。
次回来院時に調整します。 
マルチブラケット装置
- 
								
ブラケットが外れた。
慌てる必要はありませんが、痛い場合は、確認しますのでご連絡下さい。
痛くない場合、次回予約までそのまま使っても大丈夫か確認しますので、LINE公式アカウントより写真を送って下さい。 - 
								
細いワイヤー(結紮線)が出て、痛い(矢印部)。
									指や何か道具を使って、内側に入れて頂ければ大丈夫です。
うまくできない場合は、当面ワックスでカバーして、ご連絡下さい。 - 
								
細いワイヤー(結紮線)が切れた、外れた(矢印部)。
									
								慌てる必要はありません。次回来院時にお伝え下さい。
図のようにワイヤーがずれてきたら、歯が戻っている可能性がありますのでLINE公式アカウントより写真を送って下さい。 - 
								
パワーチェーンが切れた、外れた。
									すき間を閉じるために付けるゴムをパワーチェーンと言います(矢印)。
このゴムが切れたり、外れたりすることがあります。
自分で元に戻せるようなら、戻して頂いても結構です。
ただし、間違ったかけ方になっていることもありますので、 LINE公式アカウントより写真を送って下さい。正しくかかっているか確認します。切れた場合は、付け直しますので、ご連絡下さい。 
マウスピース型矯正装置
(インビザラインファースト)
						- 
								
アタッチメントが取れた。
									慌てる必要はありません。
どの部位のアタッチメントが取れたか、 LINE公式アカウントよりお知らせ下さい。
マウスピース型矯正装置(インビザラインファースト)の場合、積極的に動かすためのアタッチメントやアライナーを維持するためのアタッチメントなど、アタッチメントの役目にもいくつかの種類があります。
部位によっては、次回来院時に付け直せば十分な部分もあります。
早めに付け直した方が良い部位か確認します。 - 
								
ゴムをかける金属(ボタン)が取れた、変形した。
									慌てる必要はありません。
ゴムがかけられないため、ゴムの使用を中止して下さい。
次回予約までの日数により、付け直すか検討しますので、LINE公式アカウントよりご連絡下さい。 - 
								
マウスピース(アライナー)が割れてしまった。
									次のアライナーを長めに(2週間程度)使用して下さい。
LINE公式アカウントより、その旨をご連絡下さい。 - 
								
マウスピース(アライナー)を紛失してしまった。
次のアライナーを長めに(2週間程度)使用して下さい。
LINE公式アカウントより、その旨をご連絡下さい。 - 
								
マウスピース(アライナー)が、一部、内側に曲がってしまった。
									慌てる必要はありません。
LINE公式アカウントより写真を撮ってお知らせ下さい。
曲がっている範囲が小さい場合は、ご自身で戻して頂いたり、はさみで切って頂いたりすることもあります。 
イントラオーラルアプライアンス
(カリエールモーション3D)
						- 
								
装置が外れた。
									手前が外れる場合、奥が外れる場合、両方とも外れる場合があります。再装着しますので、ご連絡下さい。
両方とも外れてしまった場合は、必ず装置をお持ち下さい。
なお、無理に外そうとすると、変形します。
変形した場合、新しい物に交換しなければならないことがあり、装置の交換費用が生じることがありますので、ご注意下さい。 - 
								
ゴムをかける金属(ボタン)が取れた、変形した。
									慌てる必要はありません。
ゴムがかけられないため、ゴムの使用を中止して下さい。
次回予約までの日数により、付け直すか検討しますので、 LINE公式アカウントよりご連絡下さい。 - 
								
マウスピースが割れてしまった。
									
								ゴムの使用を中止して、 LINE公式アカウントより、その旨をご連絡下さい。マウスピースを修理・再作製します。
 - 
								
マウスピースを紛失してしまった。
ゴムの使用を中止して、 LINE公式アカウントより、その旨をご連絡下さい。マウスピースを再作製します。
 
取り外し式保定装置

- 
								
紛失してしまった。
まずは、どこかにまぎれていないか探して下さい。
保定開始からどれぐらいの期間が経っているかにもよりますが、数日~1週間ぐらい使わないだけでも後戻りを生じやすくなります。
そのため、LINE公式アカウントより早めにご連絡下さい。マウスピース型保定装置の場合:前回作製時の模型が破損せず残っていれば、その模型で再製作可能な場合が多いです。
プレート型保定装置の場合:前回作製時の模型は破損していますので、歯型を採って再作製する必要があります。
 - 
								
小さな穴が開いてしまった(マウスピース型)。
歯ぎしり等により、小さな穴が開いてしまうことがありますが、特に問題ありません。そのまま使用して下さい。
 - 
								
汚れてしまった(マウスピース型)。
リテーナー洗浄剤を使用しても汚れが取れない場合、次回来院時に相談下さい。
必要に応じて再作製は可能です。 - 
								
プラスチックにひびが入った、割れた(プレート型)。
慌てる必要はありません。ひび程度であればそのまま使える場合が多いです。
LINE公式アカウントより写真を送って下さい。
なお、完全に割れてしまった場合、接着して修理しますので、破片は捨てないで、次回来院時に必ずご持参下さい。 - 
								
ワイヤーが変形した(プレート型)。
何か重いものをのせてしまい、ワイヤーが変形することがあります。
その場合、 LINE公式アカウントより写真を送って下さい。
おそらく調整が必要になりますので、早めにご連絡下さい。 
固定式保定装置
- 
								
一部取れてしまった。
									保定開始からどれぐらいの期間が経っているかにもよりますが、外れたままだと後戻りを生じやすくなります。
慌てる必要はありませんが、必要に応じて再接着しますので、ご連絡下さい。 - 
								
ワイヤーが折れてしまった。
突然折れることはあまりありません。
その前に、一部が外れていて、ワイヤーが動くことで金属疲労により折れる場合がほとんどです。
慌てる必要はありませんが、必要に応じて再製作しますので、ご連絡下さい。 
